
兒童骨科 手肘骨折處理要點
We've got a top notch team!

Supracondylar fracture
注意是否有posterior fat pad sign.
Anterior humeral line是否穿過capitellum正中間
評估:
- 除位移程度外,一定要評估是否有神經血管受傷。注意是否有AIN /Ulna nerve/ radial nerve injury或無法摸到radial artery. 如無法評估,病歷上要註記無法評估。
治療:
- 除非type I,其他建議需要CRPP
- 打石膏一定要告知compartment syndrome的風險,一般小朋友打完石膏都會進步很多,如果更痛,一定要認為是compartment syndrome,要馬上鋸開石膏。
- 手術同意書要寫上神經血管及compartment syndrome分險。

Pulled elbow
常見於1-5歲小朋友,minor trauma.
來的時候手掌是pronation,經x-ray檢查後無明顯骨折(專注看是否有radial head fx or posterior fat pad sign)
治療上就是將手掌supination,不要期望會馬上改善。小朋友通常還會不願意使用受傷的手一陣子。復位後穿上小兒手臂吊帶,或穿緊身衣,把手包覆住,或用彈崩將手臂固定於軀幹,之後約診回來。

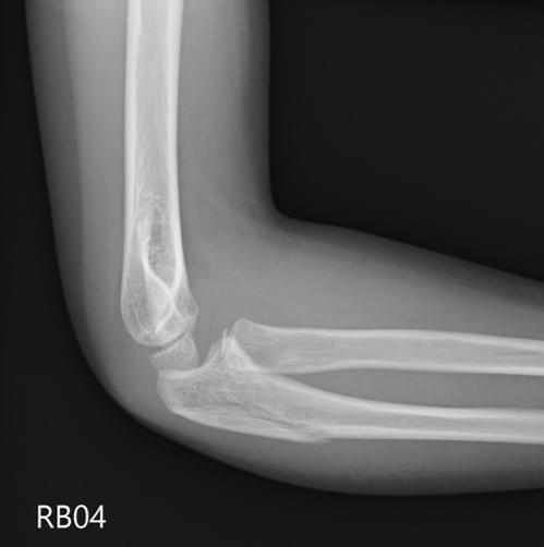
Lateral condylar fracture
為關節內骨折
- 記得一定要照internal oblique view,並且神經血管狀況要評估
- 因為是關節內骨折,任一角度>2mm位移就建議開刀治療。如果<2mm可石膏固定治療(Long arm cast)(一定要講compartment syndrome的風險及注意事項。
- 如果石膏打完之後還是會脹痛,需在側面開一裂口,直到不會脹痛為止。
- 開刀的解釋: 要跟家長說,會試看看closed reduction,但如果不成功,還是需要開個小傷口復位。此部位的骨折因為是關節內骨折,常常會造成non-union,malunion或是因為生長板受傷而引起cubital valgus。

Medial epicondylar fracture
- 除非碎骨跑進關節內,否則不一定需要開刀。
- 建議如果是運動員或位移>5mm,開刀固定會比較理想。
- 開刀以screw固定為主,開刀時要注意ulna nerve,因為medial epicondyle位移,ulna nerve會很表淺,往往皮膚及fat一打開下面就是ulna nerve。須小心處理。
- 術後打long arm cast in pronation position
兒童骨科 前臂骨折處理要點
We've got a top notch team!

Distal radius and ulna fracture
- Distal radius 骨折原則上預後良好,如果<10歲可以接受dorsal tilting arond 10 degree. 大於10歲就不可以>10度。
- 另外如果有生長板受傷需要跟家長解釋會有生長板受損之風險。SH type 1 跟2約5%。SH 3-5約10-40%。
- ulna的生長板受傷有很高的機會會停止生長,須長期觀察。

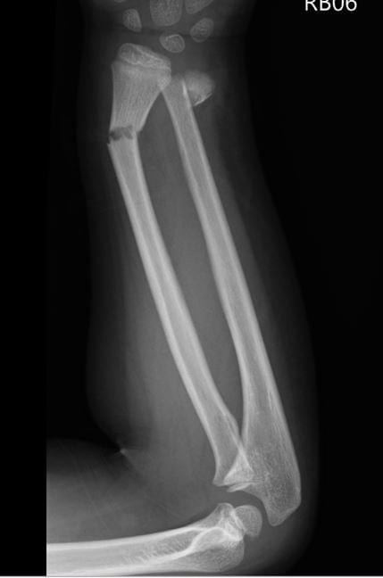
Radial or ulna shaft fracture or deformity
- 除非年紀很小,發生在shaft及靠近手肘的骨折,不要太期望會remodeling.
- 如果interosseous space狹窄,至少要進行closed reduction and casting. 如果復位不好,就進開刀房reduction.
- Long arm cast需要cast index: 0.8。一定要跟家長告知compartment syndrome風險

Ulna fracture + radial head dislocation
如果ulna骨折,或變形。一定要注意radial head是否有dislocation。
radial shaft 到radial head連線在任何角度下都要穿過capitellum,如果沒有,要考慮是否有dislocation.
reduction要supination, 保持手肘穩定的姿勢。
如果無法維持ulna shaft長度穩定,要考慮開刀。
兒童骨科 下肢骨折處理
We've got a top notch team!

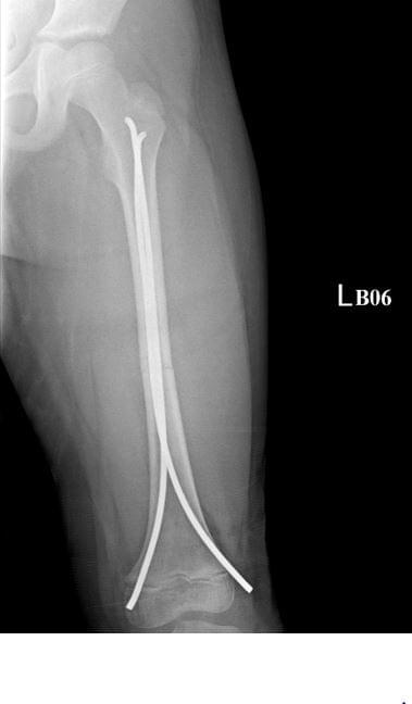
Femoral shaft fracture
- 如沒有明確受傷機轉,需懷疑家暴的可能,尤其是不會走路的小朋友(<1.5歲)
- 除嬰兒可以用Pavlik Harness治療外,其他全部都要進手術房處理。
- 如果是stable type且體重<45 kg,可以用TEN治療
- 如果是unstable type要用locking plate

Triplane injury
- 如果關節面位移超過2mm,就需要開刀治療。
- 因為是external rotation造成的,復位時以internal rotation為主。
- 如果關節面沒有辦法closed reduction,要open reduction
- 要跟家屬告知有20%的機會會造成生長板受傷,進而影響到腳踝tilting
創傷病人紀錄
兒童常見藥物
皮膚止癢:
ICHDERM TUBE
抗過敏:
CYPROH 0.4MG/ML 劑量體重1/5ML 每天3次
止痛:
IBUPROFEN 20MG/ML, 劑量體重1/4到½ ML 每天3次(5-10MG/KG PER TIME)
Acetaminophen 24mg/ml 劑量體重1/2ML 每天3次 (10-15MG/KG PER TIME)
鎮靜藥物:
Chloral Hydrate 100mg/ml: 兒童:口服50-60mg/kg(體重1/2ml),若有需要,30分鐘後可額外給予10-20mg/kg(體重1/5ml)。總計最高劑量不超過100mg/kg。
止咳藥水:
Secorine® syrup : 9-12 yrs: 10 mL 3~4 times a day. 6-9 yrs: 6.7 mL 3~4 times a day.
People reached創傷病人評估
在這裡展示你的項目,功能或客戶

Multiple fx, 何時需要分階段處理
© 2019-2025









