
兒童手部及前臂骨折

手指頭夾傷及指甲受傷
撰文BY 許逵翔醫師
手指受傷是小朋友最常見的一種骨折,在年紀小(0-4歲)的小朋友身上,通常是手被壓到或被門砸到引起。大多數只需要稍微保護就好,不需要手術治療。
何時需要手術呢?
- 手指不能握拳或指骨頸受傷
- 指甲受傷,甲床卡進骨頭中
注意事項:
- 骨折合併甲床受傷,須小心感染的可能
- 需小心指骨頸骨折本身是沒有再塑能力,需第一時間及時處理

手腕骨折之遠端橈骨骨折(distal radius fracture)
小朋友的遠端橈骨骨折依照不同得嚴重程度,可以分成完全骨折及不完全骨折,另外也要考慮是否有生長板的受傷及關節的受傷。在年紀小的小朋友,此處的骨折大多數可以自行再重塑,所以治療上可以比較保守:
分類:
- 隆起狀骨折 (torus fracture): 因壓迫造成的骨頭變形,骨頭並沒有真的斷掉
- 樹枝狀骨折 (greenstick fracture): 骨頭其中一端斷裂,另一半則為變形
- 完全骨折( complete fracture): 骨頭兩側都斷裂,完全骨折
治療:
- 大多數的遠端橈骨骨折可以徒手復位及石膏固定即可。
- 如果發現不穩定,關節面受傷才需考慮開刀。
須注意事項:
- 即使發生的機會很少,還是有可能會造成生長板變形,所以建議應長期追蹤,直到確認沒有生長板問題。
- 大多數的小朋友可以用石膏固定就好,但要儘量將手抬高,做手指運動,減少發脹的機會。
- 如果小朋友打完石膏後更痛,應立即拆開石膏

前臂骨折(尺骨及橈骨骨折)
撰文BY 許逵翔醫師
前臂尺骨及橈骨骨折最容易發生在小於14歲的小朋友,因為跌倒時用手撐地而造成。依照不同的骨折程度,可分成完全骨折及不完全骨折,而治療的目的則是要保持兩隻骨頭的相對位子及長度,這樣才能保持手部功能。
如何處理治療?
- 因為小朋友<10歲的情況下,可塑性高。在大多情況下,可以徒手復位及石膏固定治療,不一定需要百分之百的復位,除非復位完位子仍然不理想,才考慮開刀。
- 何時才考慮開刀?
- 復位不理想
- 開放性骨折
- 再次骨折
- 合併有關節脫臼
- 再次位移
- 要注意哪些事項?
- 注意小朋友在打完石膏後,手一定要放高,如果太腫,容易出現腔室症候群。
- 如果打完石膏後,小朋友很痛,躁動,一定要帶回醫院,把石膏鋸開
- 如果有發燒,疼痛等狀況,要儘快回診
其他可能之併發症:
常見到的併發症包括再次骨折,再次位移,傷口感染,骨頭不癒合,植入物造成皮膚刺激。
兒童手肘及肩膀受傷

手肘拉傷 (Pulled elbow)
撰文 by 許逵翔醫師
- 通常發生於0-4歲的小朋友,表現為經過一個小小的拉扯後,手就不敢動了。小朋友會表現出患側的手不敢動,且手掌心朝下。起因是因為經過小小的拉扯後,因為小朋友關節比較柔軟,導致橈骨頭部分脫位引起。治療上,以將橈骨頭復位為主(將手掌心轉向上方),通常在復位後,小朋友會慢慢恢復,爸爸媽媽可以回家觀察,看看小朋友有沒有變好。
- 有時候輕微骨折一開始並不明顯,如果懷疑可能是骨折,則可於復位後,先用石膏固定,於門診再次檢查。

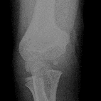
肱骨髁上骨折 (Supracondylar fractures)
撰文by 許逵翔醫師
常見於3-7歲的小朋友,因為跌倒時用手撐地引起,是小朋友最常見的一種手肘骨折。依照不同的程度有不同的治療方式。因為於此處骨頭重塑的能力較差,一般除輕微位移外,建議手術治療。
治療方式:
- 輕微位移,可以考慮石膏固定治療,但要小心石膏過緊,如果手很痛,石膏要儘快移除。
- 如果有位移則要進行復位及鋼針固定
- 如果合併有血管及神經問題,須儘快進行復位
注意事項:
- 石膏固定下,需注意不要讓手肘太腫,儘量讓手抬高
- 如有手麻,手指頭不能動,指甲血流不好(指甲發白)的情況,須儘快處理
可能之併發症:
因壓力引起的腔室症候群,神經受傷,血管受傷,感染,再次位移以及手肘變形

肱骨外髁骨折 (Lateral condylar fracture)
撰文by 許逵翔醫師
- 手肘外側疼痛,常見於跌倒後用手撐地引起。
- 肱骨外髁骨折發生於小朋友手肘骨頭還在發育的情況,所以x光下不是很明顯,常常造成誤診,如果未能及時治療,常常可能造成肘關節變形,或骨癒合不良。
- 此骨折是小朋友少數會發生骨不癒合的部位,需小心謹慎處理!

肱骨外髁骨折 (Lateral condylar fracture)
撰文by 許逵翔醫師
- 手肘外側疼痛,常見於跌倒後用手撐地引起。
- 肱骨外髁骨折發生於小朋友手肘骨頭還在發育的情況,所以x光下不是很明顯,常常造成誤診,如果未能及時治療,常常可能造成肘關節變形,或骨癒合不良。
- 此骨折是小朋友少數會發生骨不癒合的部位,需小心謹慎處理!

肱骨內側上髁骨折 (medial epicondylar fracture)
撰文by 許逵翔醫師
手肘內側因為肌肉突然收縮引起,常見於跌倒或用力投球等動作引起。
- 因為內側上髁有許多肌肉連接,所以此處常常會造成不少位移。但位移的多少才需要開刀並沒有很好的定論,其實大部分的小朋友即使位移超過一公分也不會有影響。
- 那何時需要開刀治療呢? 有以下兩點:
- 合併神經血管受傷
- 骨折的碎片跑進關節腔中才需要開刀。
© 2019-2025






